Nowotwory wewnątrzczaszkowe

Współpraca ze specjalistą
   Tematy poruszane w tym artykule  
  • Jakie są rodzaje nowotworów wewnątrzczaszkowych OUN?
  • Jakie występują objawy guza mózgu i czym się charakteryzują?
  • Jakie są metody diagnostyki guzów OUN w ocenie obrazowej?
  • Jakie są możliwości leczenia nowotworów OUN i ich skutki?
  • Co decyduje o rokowaniu pacjentów z guzami OUN?

Mówiąc o „guzie mózgu”, najczęściej myślimy o nowotworze umiejscowionym w tkance mózgu. W najszerszym ujęciu za guz mózgu można uznać jednak każdą morfologiczną nieprawidłowość stwierdzoną w mózgu: guza nowotworowego, krwiaka śródmózgowego, tętniaka, ropnia mózgu czy zmianę o charakterze pasożytniczym (np. torbiel bąblowcową mózgu – wywoływaną przez pewien gatunek tasiemca). Co istotne, wszystkie te zmiany mogą umieć podobne objawy.

Najbardziej złożony problem, chociażby w aspekcie leczenia, stanowią guzy nowotworowe. Warto więc poświęcić trochę więcej uwagi zagadnieniom z nimi związanym.

POLECAMY

Rodzaje wewnątrzczaszkowych nowotworów OUN

Istnieje wiele klasyfikacji nowotworów OUN. Oto dwa najbardziej podstawowe podziały:

  • pierwotne – wywodzące się z tkanki neuroepitelialnej (np. glejaki), opon mózgowych (oponiaki) albo innych komórek (np. pierwotny chłoniak OUN) oraz
  • wtórne – przerzuty nowotworowe do OUN (np. przerzuty czerniaka złośliwego czy raka sutka),
  • niezłośliwe – rosnące powoli i często przez długi czas bezobjawowe, których całkowite usunięcie, o ile jest możliwe, prowadzi do wyleczenia (np. niezłośliwe oponiaki) oraz
  • złośliwe – szybko rosnące i naciekające (niszczące) otaczające tkanki, najczęściej brak możliwości ich chirurgicznego usunięcia w całości (np. tzw. glejaki o wyższym stopniu złośliwości).
     

W tym miejscu należy wspomnieć o pewnym wprowadzonym przez nas uproszczeniu – w praktyce klinicznej wykorzystujemy opracowany przez WHO czterostopniowy podział złośliwości nowotworów występujących w ośrodkowym układzie nerwowym. Ma on znaczenie przy wyborze rodzaju postępowania leczniczego u chorego oraz ocenie rokowania. Na przykład najbardziej złośliwy pierwotny nowotwór OUN, glejak wielopostaciowy, należy do kategorii IV, niezłośliwe oponiaki – do kategorii I.

Trzeba również dodać, że poza złośliwością w ujęciu biologicznym, w przypadku guzów mózgu równie istotna jest tzw. złośliwość kliniczna. Co przez nią rozumiemy? O przebiegu choroby, możliwości jej leczenia i, co za tym idzie, rokowaniu decyduje lokalizacja guza wewnątrzczaszkowego: nawet biologicznie łagodna zmiana, rosnąc, może spowodować (np. w wyniku ucisku) burzliwe objawy neurologiczne, uszkodzenie OUN albo też może być zlokalizowana w miejscu trudno dostępnym operacyjnie, a jej usuwanie związane jest z dużym ryzykiem pogorszenia stanu neurologicznego albo śmierci chorego. Dlatego w przypadku nowotworów OUN staramy się unikać pojęcia „guz łagodny”.

Objawy guza mózgu

Możemy je podzielić na ogólne i ogniskowe. Należy pamiętać, że wystąpienie któregokolwiek z wymienionych poniżej objawów nie upoważnia nas do rozpoznania guza wewnątrzczaszkowego, ponieważ takie objawy (zwłaszcza te z kategorii „objawów ogólnych”) możemy zaobserwować w wielu innych chorobach:

  • w krwotoku podpajęczynówkowym,
  • stwardnieniu rozsianym,
  • padaczce,
  • migrenie,
  • zespołach neurologicznych niezwiązanych z chorobą nowotworową,
  • chorobach pierwotnie toczących się poza układem nerwowym (np. niewydolność wątroby, niewydolność nerek, cukrzyca).


Jednocześnie należy zaznaczyć, że często guzy mózgu, zwłaszcza te powoli rosnące, o niższym stopniu złośliwości, mogą długo nie dawać żadnych objawów lub choroba może mieć przebieg skąpoobjawowy.

Radioterapię stosuje się w celu zniszczenia guza (radioterapia radykalna) oraz w celu złagodzenia objawów związanych z obecnością guza, gdy wyleczenie chorego nie jest możliwe (radioterapia paliatywna i objawowa).


Objawy ogólne (związane ze wzrostem ciśnienia wewnątrzczaszkowego):

  • bóle głowy,
  • nudności, wymioty (powyższe objawy często są najbardziej nasilone rano po obudzeniu), światłowstręt, nadwrażliwość na dźwięki,
  • napady drgawkowe (padaczkowe) – w tym przypadku mówimy o „padaczce objawowej”,
  • tarcza zastoinowa na dnie oka (stwierdzana tylko w badaniu okulistycznym),
  • zaburzenia świadomości: senność, śpiączka, pobudzenie psychoruchowe,
  • tzw. objawy wegetatywne, np.: wzrost ciśnienia tętniczego, zwolnienie czynności serca, zaburzenia oddychania.
     

Objawy ogniskowe (zależnie od umiejscowienia guza – mogą sugerować jego lokalizację: w płatach półkul mózgu, móżdżku, pniu mózgu), najczęściej stwierdzane w praktyce klinicznej to:

  • niedowłady i porażenia kończyn,
  • ubytek pola widzenia (np. niedowidzenie połowicze),
  • objawy uszkodzenia nerwów czaszkowych (np. zaburzenia węchu, zez i związane z nim podwójne widzenie),
  • zaburzenia czynności umysłowych: zaburzenia mowy (np. afazja – najczęściej amnestyczna), trudności w pisaniu, czytaniu, liczeniu, rozpoznawaniu przedmiotów, wykonywaniu złożonych czynności ruchowych, zaburzenia pamięci, otępienie itp.,
  • niezborność ruchów, drżenie, trudności w chodzeniu, staniu, siedzeniu,
  • zmiany osobowości, zaburzenia łaknienia,
  • omamy słuchowe i węchowe, déjà vu,
  • napady drgawkowe tzw. częściowe.
     

Rozpoznanie guza mózgu

Postępy medycyny, jakie dokonały się w ciągu ostatnich kilkudziesięciu lat w zakresie diagnostyki obrazowej – wprowadzenie tomografii komputerowej (KT), następnie magnetycznego rezonansu jądrowego (MR), a ostatnio tomografii emisyjnej pojedynczego fotonu (SPECT) i pozytonowej tomografii emisyjnej (PET) – pozwalają obecnie na szybką diagnostykę obrazową zmian w ośrodkowym układzie nerwowym. Aktualnie standardem w diagnostyce obrazowej guzów OUN jest badanie MR.

Decyzja o wdrożeniu diagnostyki obrazowej OUN jest zawsze podejmowana na podstawie badania neurologicznego. Badania obrazowe służą do potwierdzenia (bądź wykluczenia) obecności guza, dzięki nim uzyskujemy informację o wielkości zmiany, lokalizacji, o tym czy jest to zmiana pojedyncza, czy mnoga, a także wiele danych o jej charakterze.

Chemioterapia stosowana jest jako przygotowanie do zabiegu chirurgicznego lub radioterapii bądź też jako „uzupełnienie” tych metod leczenia.

Niestety, w wielu przypadkach uzyskany obraz budzi wątpliwości co do charakteru zmiany. W takiej sytuacji, w zależności od stanu chorego i dotychczasowego przebiegu choroby, podejmuje się decyzję o wykonaniu kontrolnego badania obrazowego, np. za kilka dni lub tygodni, wykonaniu dodatkowych badań obrazowych (np. spektroskopia MR, scynygrafia, badania naczyniowe), skryningu onkologicznego (poszukiwanie pierwotnego ogniska nowotworu, jeżeli stwierdzona zmiana w OUN budzi podejrzenie guza o charakterze przerzutu nowotworowego) albo kwalifikuje się chorego do wykonania biopsji guza – igłowej lub tzw. otwartej, a wynik badania histopatologicznego pobranego wycinka zmiany decyduje o dalszym postępowaniu. Najczęściej jednak wynik badań obrazowych decyduje o pierwszym etapie leczenia chorego.

Leczenie chorych z rozpoznanym nowotworem OUN

Leczenie operacyjne

Najczęściej chory z nowotworem OUN jest kwalifikowany do zabiegu neurochirurgicznego w następujących sytuacjach:

  • Istnieje możliwość radykalnego lub częściowego chirurgicznego usunięcia guza, które daje szansę wyleczenia chorego, przedłużenia życia w akceptowalnym przez chorego stanie neurologicznym lub poprawy komfortu życia. W przypadku niektórych guzów leczenie chirurgiczne poprzedza tzw. embolizacja guza, która polega na zamknięciu naczyń krwionośnych „żywiących” guz, co powoduje jego częściowe obumarcie. Najbardziej pożądanym celem zabiegu usunięcia guza mózgu jest oczywiście wyleczenie chorego, a przynajmniej uzyskanie długotrwałej poprawy jego stanu ogólnego i neurologicznego, np. ustąpienie zaburzeń świadomości, zmniejszenie się niedowładu czy afazji. Często objawy neurologiczne wynikają z obrzęku mózgu: wiele rodzajów guzów powoduje obrzęk otaczającej, morfologicznie nieuszkodzonej tkanki, który ustępuje po usunięciu nowotworu. Zabieg nie powinien powodować wystąpienia nowych ubytków neurologicznych. Niestety, nie zawsze udaje się tego uniknąć. Chory musi być poinformowany szczegółowo o ryzyku wynikającym z zabiegu i wyrazić swoją opinię na temat, jaki deficyt neurologiczny jest w stanie zaakceptować. Ma to duże znaczenie przy planowaniu nie tylko metody zabiegu operacyjnego: rodzaju tzw. dostępu operacyjnego czy rozległości resekcji guza, ale jego leczenia onkologicznego w ogóle. Dość często mamy do czynienia z sytuacją, gdy chory nie wyraża zgody na leczenie chirurgiczne.
  • Niezbędne jest wykonanie biopsji i ustalenie biologicznego (histopatologicznego) charakteru guza w celu zaplanowania dalszego leczenia (o czym już wcześniej wspomniano).
  • W przebiegu choroby wystąpił stan zagrożenia życia, potencjalnie „odwracalny” w przypadku, gdy zostanie wdrożone leczenie neurochirurgiczne, np. ostre wodogłowie.
  • Istnieje wiele sytuacji klinicznych, kiedy chory z rozpoznanym nowotworem OUN nie jest kwalifikowany do leczenia neurochirurgicznego, np. w przypadku mnogich przerzutów czy guzów naciekających pnia mózgu. Duże znaczenie ma także ogólny stan chorego kwalifikowanego do leczenia chirurgicznego: zły stan ogólny często przemawia za odstąpieniem od operacji.
     

Radioterapia onkologiczna

Jest to metoda leczenia onkologicznego za pomocą promieniowania jonizującego. Mimo jej istotnej roli w leczeniu nowotworów posiada swoje ograniczenia, niesie również zagrożenia wynikające z braku możliwości dostatecznej ochrony przed szkodliwym promieniowaniem zdrowych tkanek w otoczeniu guza, bardzo wrażliwych na promieniowanie, co może prowadzić do zaburzeń ich funkcji – tzw. odczyny popromienne. Radioterapię stosuje się w celu zniszczenia guza (radioterapia radykalna) oraz w celu złagodzenia objawów związanych z obecnością guza, gdy wyleczenie chorego nie jest możliwe (radioterapia paliatywna i objawowa).

Wskazania do radioterapii:

  • niedoszczętne wycięcie guza,
  • rozpoznanie nowotworu o dużym stopniu złośliwości,
  • nieoperacyjność guza (ze względu na lokalizację lub zaawansowanie nowotworu),
  • rozpoznanie nowotworu szerzącego się drogą płynu mózgowo-rdzeniowego,
  • przerzuty nowotworów zlokalizowanych w innych narządach.
     

Istnieje wiele sytuacji klinicznych, kiedy chory z rozpoznanym nowotworem OUN nie jest kwalifikowany do leczenia neurochirurgicznego,
np. w przypadku mnogich przerzutów czy guzów naciekających pnia mózgu.

Warto w tym miejscu podkreślić rolę jednej z coraz bardziej dostępnych metod radioterapii,  tzw. radiochirurgii (np. gamma knife, cyberknife), która polega na zniszczeniu patologicznej tkanki za pomocą zogniskowanej wiązki promieniowania jonizującego. Jest ona alternatywą dla „klasycznego” leczenia chirurgicznego w wielu sytuacjach klinicznych. Czasami radiochirurgia jest korzystniejszą albo jedyną opcją leczniczą, pozwalającą na zniszczenie guza, a także często stanowiącą uzupełnienie leczenia chirurgicznego. Niestety, w wielu przypadkach nowotworów OUN nie może być stosowana i, jak każda ze stosowanych metod, jest obarczona ryzykiem powikłań.

Chemioterapia onkologiczna

Zastosowanie leków przeciwnowotworowych stanowi istotną część terapii chorych z niektórymi rodzajami nowotworów OUN. Chemioterapia stosowana jest jako przygotowanie do zabiegu chirurgicznego lub radioterapii lub jako „uzupełnienie” tych metod leczenia. W niektórych sytuacjach, często w przypadku nowotworów u dzieci (np. w guzach typu PNET), zastosowanie chemioterapii znamiennie wydłuża średnią długość przeżycia chorych, pozwala odsunąć w czasie, nawet o kilka lat, lub uniknąć napromieniania całego OUN.

W trakcie leczenia onkologicznego, a także po jego zakończeniu, niezbędna jest wielospecjalistyczna opieka nad chorym, często obciążonym innymi schorzeniami. Niezmiernie ważnym aspektem leczenia jest zawsze właściwe kontrolowanie objawów wywołanych przez guz i wynikająca z tego poprawa komfortu życia chorego. Istotną rolę w procesie tego złożonego leczenia odgrywa psycholog. Chorzy z zaburzeniami mowy wymagają pomocy logopedy – afazjologa. Współpraca z psychologiem i neurologopedą przyczynia się do lepszego nastawienia się chorego do całego procesu leczenia. 

Rokowanie

Możliwości leczenia chorego z guzem OUN uzależnione są od wielu czynników. Duże znaczenie ma zarówno charakter biologiczny, rozległość i lokalizacja guza w jamie czaszki, jak i ogólny stan chorego (w tym współistnienie innych chorób). Uwzględniając wszystkie te czynniki, dla każdego chorego przygotowuje się optymalny schemat leczenia, który jest modyfikowany w zależności od stanu klinicznego.

Rzeczą oczywistą wydaje się, że o dobrym rokowaniu możemy mówić w przypadku nowotworów o najmniejszej biologicznej złośliwości przy jednoczesnej niewielkiej złośliwości klinicznej: poprzez ich całkowite usunięcie możemy uzyskać wyleczenie chorego. W przypadku chorych ze stwierdzonym guzem o wysokim stopniu złośliwości rokowanie co do całkowitego wyleczenia jest najczęściej złe, jednak wdrożenie odpowiedniego leczenia onkologicznego może, czasami o wiele lat, wydłużyć życie tych chorych.

Ważną rolę odgrywa świadomość zdrowotna społeczeństwa – wiedza na temat objawów neurologicznych, z którymi chory powinien udać się do lekarza, a także sama „czujność” lekarza pierwszego kontaktu: wychwycenie pierwszych objawów i skierowanie chorego do specjalisty neurologa, a następnie – do neurochirurga, a także onkologa. Wczesne wychwycenie objawów i włączenie odpowiedniego leczenia stanowi ważny czynnik rokowniczy.

Współpraca z psychologiem i neurologopedą przyczynia się do lepszego nastawienia się chorego do całego procesu leczenia.

nowotwór OUN

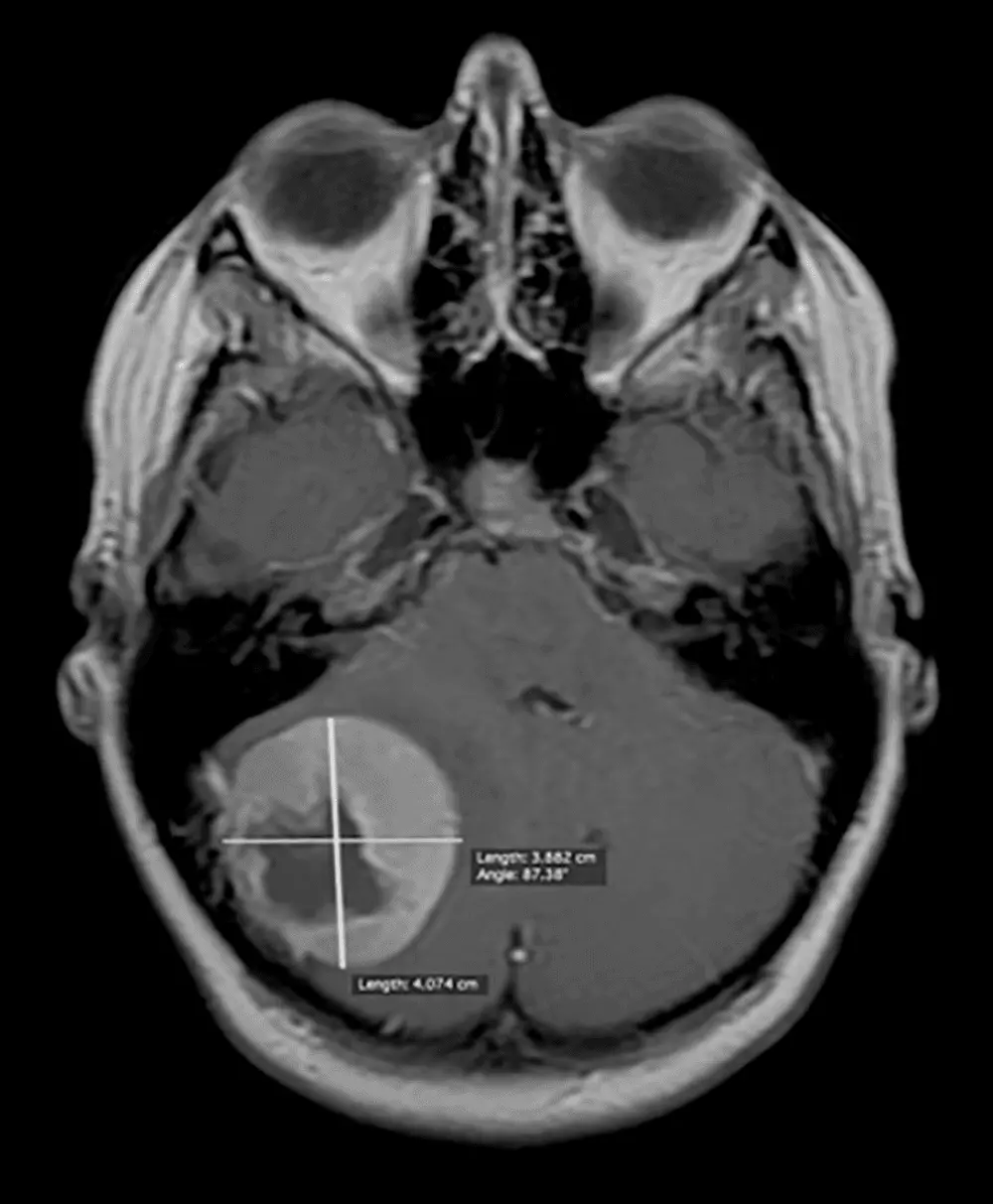
Przypadek kliniczny: 19-letnia pacjentka z oponiakiem tylnej jamy czaszki

Przypadek chorej M.D. lat 19, operowanej z powodu guza położonego podnamiotowo (w tylnej jamie czaszki), uciskającego w znacznym stopniu prawą półkulę móżdżku. Pomimo dużych rozmiarów guza jedynym objawem choroby był trwający od około roku ból głowy. Na podstawie wykonanych badań obrazowych – KT, następnie MR głowy, została zakwalifikowana do leczenia operacyjnego. Zmianę usunięto w całości, co potwierdzone zostało kontrolnym badaniem KT w drugiej dobie po operacji. Badanie histopatologiczne wykazało, że jest to oponiak w I stopniu złośliwości w klasyfikacji WHO. W przebiegu leczenia nie wystąpiły powikłania. Chorą wypisano do domu w stanie ogólnym i neurologicznym bardzo dobrym w czwartej dobie po zabiegu operacyjnym.

Literatura:

  • Ząbek M., Zarys neurochirurgii.
  • Schirmer K., Neurochirurgia.
  • Greenberg M.S., Handbook of Neurosurgery.

Przypisy

    W 2006 roku uzyskał tytuł specjalisty neurochirurga, w latach 2000- 2013 pracował w Klinice Neurochirurgii Szpitala Uniwersyteckiego nr 1 w Bydgoszczy, od 2013 roku pracuje w Oddziale Neurochirurgii Szpitala "Medicam" w Gryficach. Do jego zainteresowań należy neuroonkologia.
    POZNAJ PUBLIKACJE Z NASZEJ KSIĘGARNI